New implant restores blood pressure balance after spinal cord injury

Getting out of bed in the morning without the risk of passing out is a game-changer for 32-year-old Cody Krebs.
In 2022 Krebs experienced a severe spinal cord injury (SCI) in a motor vehicle accident. Since that time, Krebs requires the use of a wheelchair. The damage to his spinal cord means his brain can no longer control blood pressure in his body. He was vulnerable to blood pressure drops where he was at risk of losing consciousness, and spikes placing him at risk of a heart attack and stroke. However, an international clinical trial has given him control again.
“Before the accident, I had no idea how volatile blood pressure can be. Just transferring from my bed to my chair almost knocked me out at times when my blood pressure would drop,” says Krebs. “At other times during the day, my blood pressure would spike due to severe nerve pain, causing me to break out in a sweat and experience severe migraines.”
Krebs is part of ongoing research based on a major discovery to stabilize blood pressure for people with SCI.
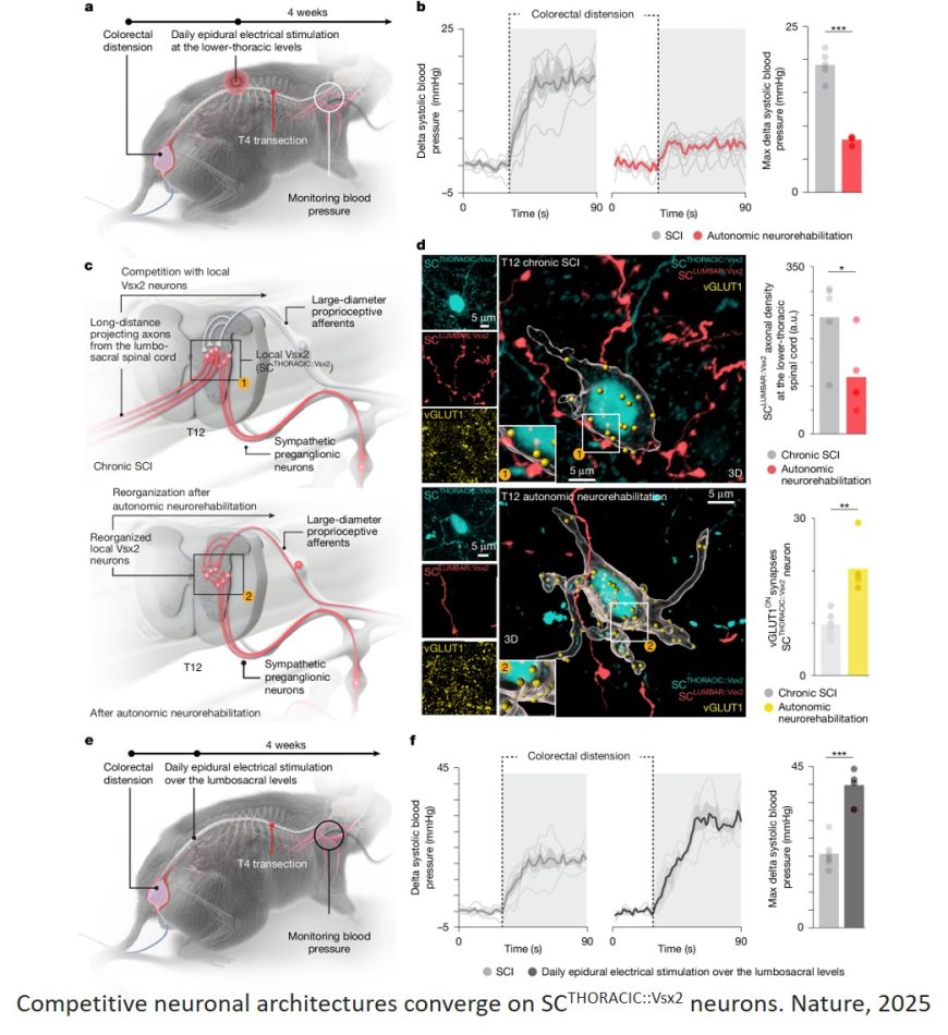
In a rare double publication in both Nature and Nature Medicine, a pair of landmark studies describe the development of a targeted therapy to address blood pressure regulation in 14 participants across four clinical studies conducted at three separate medical centers in Canada, Switzerland, and the Netherlands.
The study participants and Krebs now have an implantable system on their spine consisting of a new class of electrode arrays. These arrays connect to a purpose-built pulse generator—similar to a cardiac pacemaker—that delivers finely tuned electrical stimulation, calibrated to each person’s needs. The result is a compact, adaptable system capable of restoring blood pressure stability through targeted neuromodulation that can be controlled through an app.
“Our mechanistic discoveries in Nature were crucial in bridging the gap from foundational neuronal mapping to clinical application. This synergy is what allowed us to move so quickly from theory to therapy,” says the author. “The Nature Medicine study demonstrates several important factors. First, we show that low blood pressure after a spinal cord injury has serious medical consequences that must not be clinically ignored. Second, we show that our neuromodulation therapy for blood pressure instability after SCI can be deployed effectively in diverse clinical settings, at several centers in different countries with different medical protocols.”
The authors adds the Nature paper also showed that long-term use of the therapy treats not only the low blood pressure occurring after SCI but also prevents the development of life-threatening spikes in blood pressure.
“In the Nature study we were able to identify the entire neuronal architecture of the spinal cord that is responsible for uncontrolled, life-threatening elevations of blood pressure, called autonomic dysreflexia. We also showed that spinal cord stimulation can compete with this neuronal architecture to safely and precisely regulate blood pressure,” says another author.
The results were consistent in study participants across all sites: once activated, the system restored blood pressure to a functional range, often within minutes.
“Based on our experiences with this novel treatment, participants report experiencing less brain fog, having more energy, being able to speak louder, and suffering less from a postprandial dip. In addition, once the surgery was performed, this system proved relatively easy to use in their home environment,” says the author, who successfully deployed the system at the rehabilitation center.
“The international deployment shows that the surgery and therapy are safe and effective regardless of local practices. It’s a key milestone toward making this technology widely available,” says another author.
While much of the focus in SCI care has been on restoring movement, a majority of patients live with chronic hypotension, a condition that leaves them exhausted, cognitively dulled, prone to fainting, and predisposes to cardiovascular disease over the long-term.
“The implanted devices have a robust safety profile, as they are commonly implanted in the treatment of various pain disorders,” says another author. “Therefore, it's an easy transition to implant them for this novel indication. We've seen very impressive and immediate improvements in blood pressure that are evident as soon as the device is turned on intra-operatively.”
Krebs says he’s proud to be in a clinical trial advancing discoveries in this field. “It feels good to be able to boost my blood pressure when I need to, I have more energy and am thinking more clearly. Also, there are fewer dangerous spikes in my blood pressure. I am very grateful for all the research being done.”
The implantable neurostimulation system evaluated in these studies was developed by ONWARD Medical. ONWARD Medical has recently received FDA approval to initiate a pivotal trial of this therapy, which is expected to involve approximately 20 leading neurorehabilitation and neurosurgical research centers across Canada, Europe and the United States.